Dental Krafts

Cosmetic Filling Treatment in Govandi, Mumbai

Many people feel self-conscious about dental imperfections such as cavities, cracks, or chips in their teeth. These issues can affect teeth’ function and appearance, leading to discomfort or a less-than-ideal smile. Cosmetic filling treatment can effectively address these concerns, restoring teeth’s look and function.

Dr. Dheeraj Punjabi, the founder of Dental Krafts Dental Clinic in Govandi, Mumbai, explains, “Cosmetic fillings not only repair the damage but also enhance the natural appearance of your teeth, helping you regain both confidence and comfort in your smile.” This procedure uses advanced materials that blend seamlessly with natural teeth, ensuring a durable and aesthetically pleasing result.

At Dental Krafts, Dr. Dheeraj Punjabi offers top-tier, customized cosmetic filling treatment in Govandi. He uses high-quality materials to ensure long-lasting outcomes. His commitment to precision and care helps patients achieve a radiant, natural-looking smile.

Keep reading to learn more about cosmetic filling treatment, its benefits, procedure and more.

What Is Cosmetic Filling Treatment?

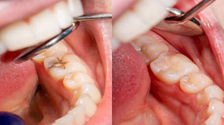
Cosmetic filling treatment is a dental procedure that restores teeth damaged by decay, chips, or cracks while enhancing their appearance. Unlike traditional metal fillings, cosmetic fillings are made from tooth-coloured materials, such as composite resins or porcelain, allowing them to blend seamlessly with your natural teeth.

This minimally invasive treatment involves removing only the damaged part of the tooth and filling the cavity with a material that mimics the natural tooth structure. The result is a durable restoration that improves function and appearance, providing a natural look indistinguishable from surrounding teeth. They can be used for both front and back teeth, making them a versatile solution for various dental issues.

Transform your smile with advanced cosmetic fillings. Consult a specialist for a personalized treatment plan to achieve a healthier smile. Book an appointment now!

Why Choose Cosmetic Filling Treatment at Dental Krafts?

Dental Implants at Dental Krafts
  • Expert Care from Experienced Professionals

Dr. Dheeraj Punjabi is a highly skilled dentist in Govandi with over 12 years of experience performing cosmetic filling treatments, ensuring precise and effective results.

  • State-of-the-Art Technology

We use the latest dental technology and good-quality materials to deliver natural-looking, durable cosmetic fillings that enhance your smile.

  • Personalized Treatment Plans

Every patient receives a tailored treatment plan based on their unique dental needs, ensuring the most appropriate and effective approach for cosmetic filling procedures.

  • Pain-Free Experience

We prioritize patient comfort, offering pain-free procedures through advanced numbing techniques, ensuring a relaxing and stress-free treatment experience.

  • Comprehensive Aftercare

We offer post-treatment guidance to ensure long-lasting results, including advice on maintaining oral health and the appearance of your fillings.

  • Cost-effective Pricing

At Dental Krafts, we offer competitive pricing for cosmetic filling treatment in Govandi. This makes high-quality dental care accessible without compromising the quality of materials or treatment.

  • Patient-Centered Approach

Our expert team takes the time to understand each patient’s concerns and goals, ensuring the treatment process is as smooth and satisfactory as possible.

Wondering how much cosmetic filling treatment will cost? Let’s look at the pricing details.

Cost of Cosmetic Filling Treatment in Govandi, Mumbai

The cost of cosmetic filling treatment can vary depending on several factors, including the type of material used, the number of teeth that need treatment, the complexity of the procedure, the dentist’s expertise, and the clinic’s location.

Generally, composite fillings are more affordable than porcelain fillings. However, porcelain fillings offer a more natural appearance and are often preferred for front teeth. While the initial cost may seem higher, cosmetic fillings are durable and can last many years with proper care, making them a worthwhile investment.

Interested in knowing more about the cost of cosmetic fillings? Consult a reliable dental expert today for an accurate quote for your specific treatment plan.

Benefits of Cosmetic Filling Treatment

  • Decay Prevention: Seals cavities and cracks to protect teeth from further damage.
  • Natural Appearance: Tooth-colored materials blend seamlessly with your teeth, ensuring a natural look.
  • Smile Enhancement: Covers chips, cracks, and cavities, restoring your smile’s beauty.
  • Durability: Advanced materials last for years, offering reliable tooth restoration.
  • Tooth Strengthening: Adds strength, restoring function and preventing further damage.
  • Minimally Invasive: Preserves most of the natural tooth structure while addressing damage.
  • Quick Procedure: Often requires a single treatment session, offering quick and efficient tooth restoration.
  • Safe Materials: Non-toxic, biocompatible fillings are gentle on teeth and gums.
Wondering how the cosmetic filling procedure works? Let’s break down the steps involved.

Our Cosmetic Filling Procedure

At Dental Krafts, we follow a meticulous and well-planned process for cosmetic filling treatment in Govandi to ensure the best results:

  1. Initial Consultation

The first step is a thorough consultation where Dr. Dheeraj Punjabi evaluates your dental health and examines the affected tooth or teeth. He will discuss treatment options that suit your needs, ensuring you understand the procedure and its benefits.

  1. Numbing the Area

Before the treatment, the dentist administers a local anesthetic to numb the area around the tooth to ensure comfort. This minimizes any discomfort during the procedure, making it pain-free and relaxed.

  1. Tooth Preparation

Once the area is numbed, the dentist will prepare the tooth by cleaning it and removing any decay or damaged material. This step ensures a strong bond between the tooth and the filling material.

  1. Applying the Filling Material

The dentist applies the chosen filling material and then sculpts it to match the tooth’s natural shape, ensuring a seamless blend with the other teeth.

  1. Hardening the Filling

After applying the material, a special light is used to harden and set the filling. This ensures the filling stays in place and maintains its durability.

  1. Final Adjustments

Once the filling is set, the dentist will adjust it for proper alignment and smoothness, ensuring it fits comfortably so you can chew and speak easily.

  1. Polishing the Filling

The final step is polishing the filling for a smooth, natural finish, enhancing its appearance and ensuring it blends with the surrounding teeth.

  1. Post-Treatment Care

After the procedure, the dentist will provide aftercare instructions to ensure the longevity of your cosmetic fillings. You may need to temporarily avoid certain foods or habits while your filling settles.

Get the best cosmetic filling experience today! Consult a seasoned specialist and restore your teeth with expert care. Schedule an appointment now!

Frequently Asked Questions

Cosmetic fillings can last 5 to 15 years. It depends on the material used and the maintenance of your teeth.

Fillings are typically used to restore teeth affected by cavities. In contrast, cosmetic bonding improves the appearance of teeth by covering chips, cracks, or gaps with a tooth-coloured resin.
Cosmetic bonding may stain over time, is less durable than crowns or veneers, and may require touch-ups or replacements after a few years.
Most cosmetic fillings can be completed in one visit, making them a convenient solution for dental restoration.
Cosmetic fillings are resistant to staining. However, they may discolour after prolonged exposure to certain foods, drinks, or smoking. So, proper oral hygiene is essential.

Disclaimer: This page is intended for informational purposes and not for promotional use.

Invest in your dental well-being! Schedule a consultation to discover the latest advancements in dental treatments and how they can benefit you.

Scroll to Top
Call Now Button